Conférence gratuite et ouverte à tous à 20 h 30.
L’association Carrefour des Sciences et des Arts, en partenariat avec le CEA de Gramat, propose d’ouvrir l’année avec une soirée « sciences au dessert » avec une conférence passionnante sur le cerveau dévoilé par l’Iseult, l’imageur par résonance magnétique le plus puissant au monde, animée par Vincent Gras, ingénieur de recherche au CEA.
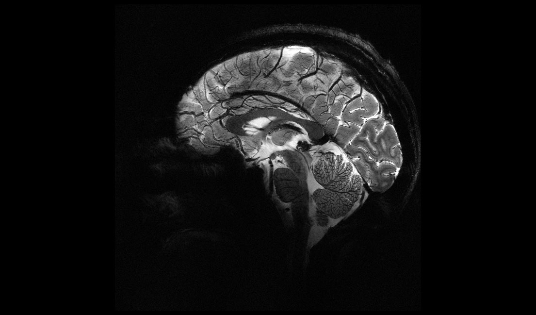
En avril 2024, une étape historique a été franchie : les premières images d’un cerveau humain obtenues grâce à l’IRM Iseult 11,7 teslas ont été dévoilées. Une prouesse scientifique et technologique, inédite avec un champ magnétique aussi élevé. Lors de cette conférence, Vincent Gras nous fera revivre l’aventure extraordinaire de ce projet hors norme : de sa conception au sein des équipes de l’IRFU du CEA jusqu’à son installation et sa mise en service à NeuroSpin, le centre dédié à l’imagerie cérébrale de pointe du CEA. Nous découvrirons les toutes dernières images produites par Iseult, comprendrons les principes qui se cachent derrière une IRM, et illustrerons les applications médicales et neuroscientifiques qu’ouvre ce nouvel instrument.
Vincent Gras est ingénieur de recherche à l’institut Joliot depuis 2017. Sa mission au CEA est de développer et perfectionner l’imagerie du cerveau chez l’homme grâce à résonance magnétique nucléaire dans un champ magnétique élevé. Il est ingénieur en télécommunications, diplômé de IMT Atlantique (anciennement Télécom Bretagne) et a poursuivi ses études par une thèse de doctorat en analyse et traitement d’images. Il a rejoint en 2008 le centre de recherche de Jülich, en Rhénanie du Nord Westphalie où il a découvert l’imagerie par résonance magnétique et toute la puissance et l’agilité de cet instrument pour explorer de manière non invasive le cerveau.
> Conférence gratuite ouverte à tous, rendez-vous le mardi 13 janvier 2026 à 20h30, espace congrès Clément Marot, Cahors. Après la conférence : buffet de desserts. Apportez un gâteau à partager, Carrefour des Sciences et Arts s’occupe des boissons !





